레이저 거상 버츄RF마취 없이 가능한 강력한 고주파 리프팅으로 빠른 효과를 볼 수 있는 시술입니다.

No 마취, 빠른 효과 레이저 리프팅
버츄RF

리팅성형외과 모델

시술 정보

  • 시술시간10분 ~ 30분

  • 통증정도따끔거리는 정도

  • 회복기간빠른 회복

  • 마취방법연고마취

  • 지속기간약 1년 이상(2~4주 간격 3~5회 시술시)

수면마취 없이 딱 30분! 달라진 모습을 바로 확인하실 수 있습니다

    • before
    • before
    • before
*개인에 따라 회복 및 부작용이 나타나는 시기가 달라질 수 있습니다.

안전 시술 테크놀로지버츄RF 라면 모두 가능합니다

버츄RF 기능 : 즉각적 리프팅&얼굴라인 개선, 주름&모공 개선, 피부톤업, 콜라겐 촉진
  • 미국, 유럽, 한국에서 안전성과 유효성을 검증받은 제 3세대 MNRF* 디바이스

  • 최대 효과, 최저 통증을 위한 안전 시술 테크놀로지

*MNRF (MicroNeedle RadioFrequency)

발전된 기술

  • ACS

    첨단 쿨링 시스템Advanced Cooling System

  • IPRS

    통합 펄스 고주파 시스템Integrated Pulsed Radiofrequency System

  • IECS

    통합 에너지 조절 시스템Integrated Energy Control System

  • MDCS

    최소 깊이 조절 시스템Minimum Depth Control System

버츄RF는 미국 FDA, 유럽 CE 및 한국 MFDS 승인을 받은 안전성과 유효성이 검증된 최신 의료기기입니다

  • 미국 FDA 승인 라벨
  • 한국 MFDS 승인 라벨
  • 영국 CE 라벨

버츄 RF 부위별 개선 효과

상안부 : 이마주름/눈썹처짐, 무거운 눈두덩이(안검하수), 상안검, 처진 눈매 / 중하안부 : 팔자주름&심부볼, 처진 볼살, 이중턱, 턱라인개선 / 목 : 늘어진 목&주름진 목, 이중턱, 세로주름개선, 탄력&잔주름개선
풀페이스

얼굴전체 + 목 / 안면윤곽 개선,
안검하수, 상하안검, 주름 및 탄력개선, 피부톤 및 모공개선

실제 고객님들이 감탄한 즉각적 효과를 확인하세요!젊음을 채우는 시간, 단 30분

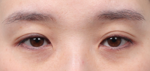
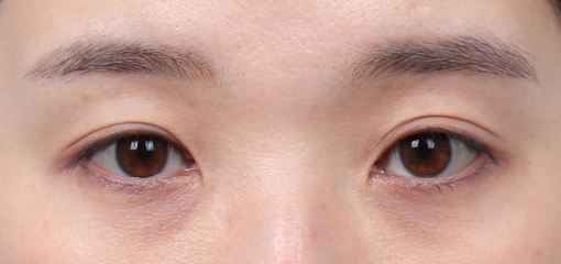
  • 40대 상안부

    무거운 눈두덩이 / 졸린 눈 / 처진 눈매

    • 시술 전

      시술 전 시술 전
    • 3회차 시술 후

      시술 후 시술 후
      의료법에 따라 후에 확인하실 수 있습니다.

    2주 간격 3회차 시술 3일 후에 촬영한 무보정 전후사진입니다

  • 60대 상안부

    처진 눈두덩이(안검하수) / 답답한 시야

    • 시술 전

      시술 전 시술 전
    • 3회차 시술 후

      시술 후 시술 후
      의료법에 따라 후에 확인하실 수 있습니다.

    2주 간격 3회차 시술 3일 후에 촬영한 무보정 전후사진입니다

  • 40대 중하안부

    팔자주름 / 심부볼 / 처진 볼살 / 턱살 / 이중턱

    • 시술 전

      시술 전 시술 전
    • 3회차 시술 후

      시술 후 시술 후
      의료법에 따라 후에 확인하실 수 있습니다.

    2주 간격 3회차 시술 3일 후에 촬영한 무보정 전후사진입니다

  • 60대 중하안부

    팔자주름/심부볼 / 울퉁불퉁한 턱선

    • 시술 전

      시술 전 시술 전
    • 3회차 시술 후

      시술 후 시술 후
      의료법에 따라 후에 확인하실 수 있습니다.

    2주 간격 3회차 시술 3일 후에 촬영한 무보정 전후사진입니다

  • 60대 목

    늘어진 목 / 세로주름 / 턱밑살 / 이중턱 / 턱라인

    • 시술 전

      시술 전
    • 3회차 시술 후

      시술 후
      의료법에 따라 후에 확인하실 수 있습니다.

    2주 간격 3회차 시술 3일 후에 촬영한 무보정 전후사진입니다

※ 시수술 결과는 개인마다 차이가 있을 수 있으며, 시술 후 예상치 못한 염증, 출혈, 감염 등 부작용이 발생할 수 있으므로 주의를 요합니다.
의료법에 따라 후에 확인하실 수 있습니다.

3세대 고주파 리프팅 버츄RF이런 분들께 추천합니다

  • 01

    수면마취가 어려우신 분

  • 02

    실 리프팅은 부담스러우신 분

  • 03

    중요한 날을 앞두고 즉각적인 효과가 필요하신 분

  • 04

    수술 후 꾸준한 관리를 통해 오래도록 젊음을 유지하고 싶으신 분

버츄RF 피부재생 그래프

버츄RF의 기간별 피부재생 효과 (4주차 : 피부재생 효과가 유지됩니다.)
  • 수술직후
    피부가 붉어지고 온열감이 있습니다.
  • 2시간 경과
    붉어진 부분이 가라 앉습니다.
    약간의 시술 자국은 보일 수 있습니다.
  • 하루 - 1주
    자국이 가라앉고 일상생활에 지장이 없는 상태가 됩니다.
    피부 당김이 있고 톤이 좋아 집니다.*시술 방법과 사람에 따라 차이가 있을 수 있습니다.
  • 1주 - 4주
    지속적인 재생이 이루어지는 기간입니다.
    피부 탄력이 생기고 톤이 맑아 집니다.
    피부 컨디션 관리와 재생에 도움이 되는 보조적인 관리를 해준다면 더욱 좋습니다.
  • 4주 경과
    피부재생 효과가 유지됩니다.

버츄RF효과경험해보세요.

상담신청

  • 진료과목 선택
    • 리프팅수술
    • 기타수술
    • 주사시술
    • 레이져시술
    • 실리프팅
    • 기타
닫기